마이코플라즈마 감염 숨겨진 진실 놓치면 큰일 날 수 있습니다

"혹시 최근에 감기처럼 느껴지지만 유난히 오래 가는 기침을 경험하고 있나요? 단순한 감기일 거라고 생각하시나요? 이 증상을 방치하면 더 큰 문제로 이어질 수 있습니다. 마이코플라즈마 감염은 지금 당신이 겪고 있는 증상의 배후일지 모릅니다. 왜 이를 무시하면 안 되는지 지금 알아보세요."



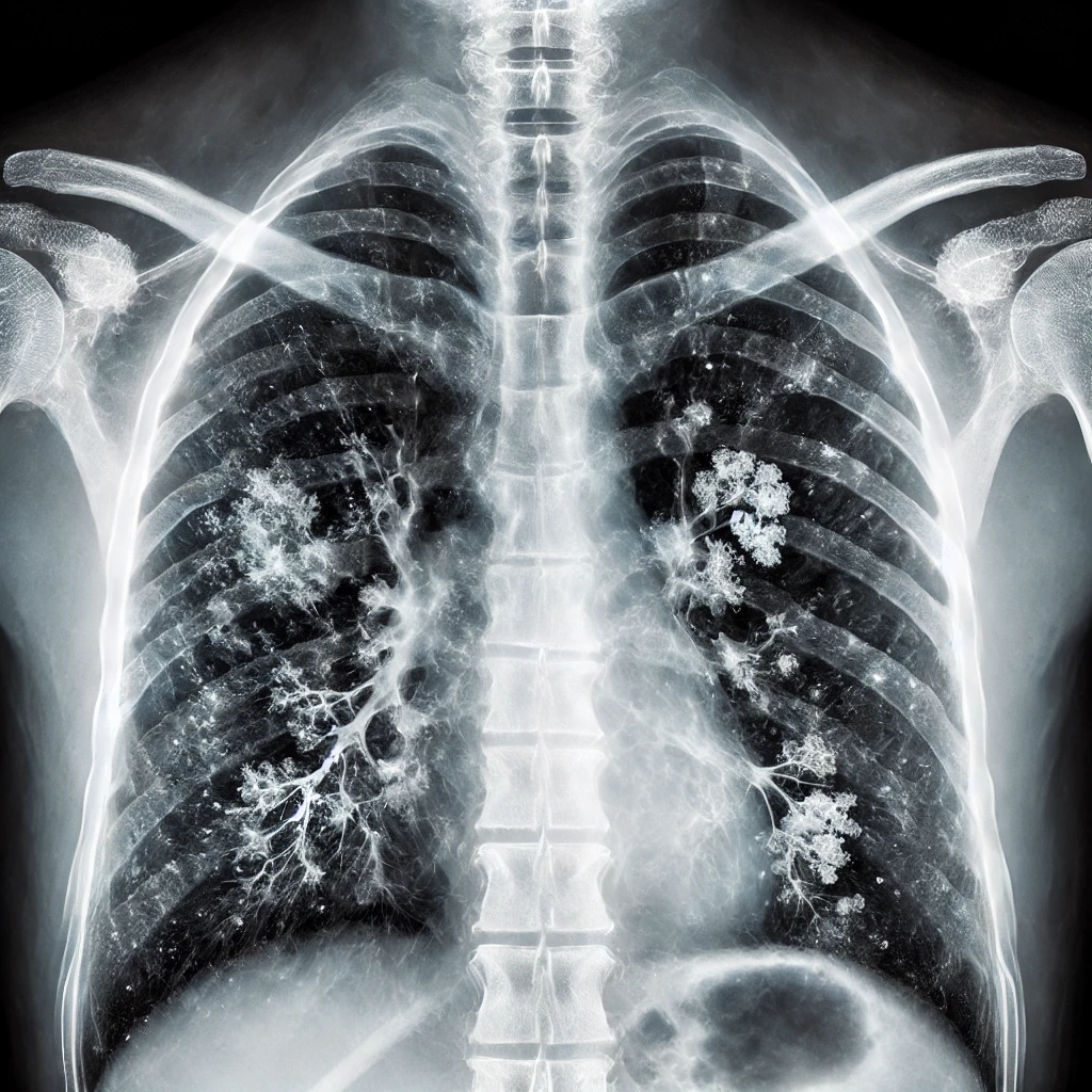
마이코플라즈마, 얼마나 심각할까요?
마이코플라즈마(Mycoplasma)는 최근 들어 건강을 위협하는 주요 병원체로 급부상하고 있습니다. 작은 세균 하나가 사람의 폐를 감염시키고, 자칫하면 심각한 폐렴으로 이어질 수 있다는 사실을 알고 계셨나요? 심지어 이 세균은 기존 항생제에도 잘 반응하지 않기 때문에 치료 시점이 늦어지면 고통스럽고 긴 치료가 필요할 수 있습니다.
최근 연구가 경고하는 이유
최근 발표된 세계 보건기구(WHO)의 보고서에 따르면, 호흡기 질환 환자 중 마이코플라즈마에 의한 감염이 해마다 증가하고 있는 것으로 나타났습니다. 특히 면역력이 약한 중장년층에게 치명적일 수 있는 이 감염은 적절한 시기에 치료하지 않으면 더 심각한 합병증으로 이어질 수 있습니다.
"이 감염을 방치하면, 당신의 폐 건강에 심각한 타격을 줄 수 있습니다. 치료 시기를 놓치지 마세요!"
어떻게 알아차릴 수 있을까요?



마이코플라즈마 감염은 초기에는 가벼운 감기와 유사한 증상을 보이지만, 시간이 지나면서 기침이 심해지고, 심한 경우 폐렴으로 발전할 수 있습니다. 다음과 같은 증상이 나타난다면 단순한 감기가 아닐 수 있습니다.
- 마른 기침: 처음에는 가벼운 기침이지만, 며칠에서 몇 주간 지속됩니다.
- 고열: 열이 38도 이상 오르며, 소아나 노인에게 위험할 수 있습니다.
- 두통과 근육통: 감염된 몸은 전신 통증을 유발할 수 있습니다.
"이 증상들이 1주일 이상 지속된다면, 병원 방문을 미루지 마세요."
최신 진단 방법과 치료법



진단은 빠를수록 좋습니다. 최근 도입된 PCR 검사를 통해 마이코플라즈마를 정확히 진단할 수 있으며, 초기에 항생제 치료를 시작하면 감염을 빠르게 제어할 수 있습니다. 매크롤라이드 항생제는 마이코플라즈마 폐렴 치료에 효과적인 것으로 알려져 있으며, 최근 연구에서는 새로운 항생제 조합이 더 나은 효과를 보일 수 있다고 보고되고 있습니다.
하지만 무엇보다 중요한 것은 초기에 감지하고 적절한 치료를 받는 것입니다.
예방이 최선의 방법입니다



마이코플라즈마 감염을 예방하는 가장 좋은 방법은 개인 위생을 철저히 지키는 것입니다. 많은 감염성 질병과 마찬가지로, 손 씻기, 기침 예절, 주기적인 환기는 감염을 예방하는 기본 수칙입니다.
FAQ: 자주 묻는 질문
Q1. 마이코플라즈마 감염은 감기와 어떻게 다른가요?
A: 마이코플라즈마 감염은 초기 증상이 감기와 매우 유사하지만, 증상이 더 오래 지속되며 기침이 더 심할 수 있습니다. 특히 기침이 마른 기침으로 시작해서 오랜 기간 계속될 수 있고, 적절한 치료 없이 방치하면 폐렴으로 발전할 위험이 높습니다. 반면 감기는 보통 1주일 이내에 저절로 호전됩니다.
Q2. 마이코플라즈마 감염은 어떻게 전파되나요?
A: 마이코플라즈마는 주로 비말(침방울)을 통해 전파됩니다. 감염자가 기침하거나 말을 할 때 배출된 비말을 통해 감염될 수 있으며, 사람 간 접촉이 많은 학교나 직장에서 쉽게 퍼질 수 있습니다. 그렇기 때문에 마스크 착용과 손 씻기, 그리고 주기적인 환기가 중요합니다.
Q3. 마이코플라즈마 폐렴은 위험한가요?
A: 적절한 치료를 받지 않으면 마이코플라즈마 폐렴은 심각한 합병증을 유발할 수 있습니다. 특히 노인, 소아, 면역력이 약한 사람들에게는 치명적일 수 있으므로, 기침이 오래 지속되거나 열이 동반되는 경우 즉시 병원을 방문해 진단받는 것이 중요합니다.
Q4. 마이코플라즈마는 항생제로 치료되나요?
A: 마이코플라즈마는 세포벽이 없어 기존의 페니실린 같은 항생제에 내성을 보일 수 있습니다. 하지만 매크롤라이드(macrolides)나 테트라사이클린(tetracyclines) 계열의 항생제가 효과적으로 사용됩니다. 따라서 증상이 나타나면 빠르게 항생제 치료를 받는 것이 중요합니다.
Q5. 마이코플라즈마 감염을 예방할 수 있나요?
A: 예방 백신은 없지만, 개인 위생을 철저히 관리하고, 특히 기침 예절을 지키는 것이 중요합니다. 또한 손 씻기와 같은 기본적인 예방 수칙을 준수하고, 면역력을 강화하는 생활 습관을 유지하는 것도 감염 예방에 큰 도움이 됩니다.
마무리


마이코플라즈마 감염은 가벼운 감기처럼 느껴질 수 있지만, 방치하면 더 심각한 질병으로 발전할 수 있습니다. 이 글에서 다룬 정보들은 당신의 건강을 지키기 위한 중요한 지침이 될 것입니다. 위에서 설명한 증상이 나타나면, 방치하지 말고 빠르게 진단과 치료를 받아야 합니다. 지금 당신의 건강을 확인해보세요!
함께 읽으면 도움 되는 글!!
아판타시아 증후군 상상을 못 한다면 당신의 삶은 어떻게 달라질까요?
혹시 당신도 머릿속에서 아무런 이미지가 떠오르지 않나요?사과를 떠올리라고 했을 때 대부분의 사람들은 선명한 이미지로 사과를 상상합니다. 하지만 아판타시아를 가진 사람들은 그저 어둠
k.korealinkon.com
아나필락시스 쇼크 방심하면 생명을 위협하는 치명적인 알레르기 반응
여러분, 평소에 아무렇지 않게 먹던 음식, 갑자기 몸에 사용한 화장품이나 약물이 생명을 위협할 수 있다는 사실을 알고 계신가요? 오늘 이야기할 주제는 바로 아나필락시스 쇼크입니다. 단순한
k.korealinkon.com
글루앤시카 당신의 관절과 피부를 젊고 튼튼하게 유지하는 비결
"매일 관절이 아프고, 피부가 건조해지며 나이 들어 보이는 느낌, 혹시 당신도 느끼고 있지 않나요?" 이 신호를 무시하면, 앞으로 더 큰 문제가 생길 수 있습니다. 하지만 지금, 이 문제를 해결할
k.korealinkon.com
댓글